Phase 1 – Early Treatment cases with Invisalign First
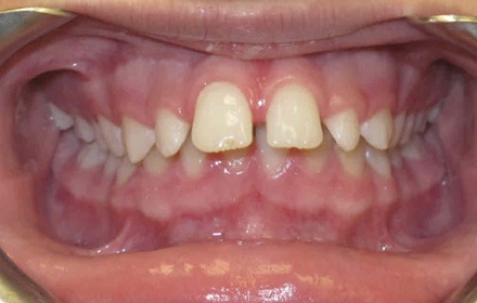
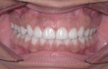
Class I – Invisalign First – Phase 1
Open bite, Narrow arches, Anterior Cross Bite, Prognathic mandible
Patient – Female, 9-10 years old, 18 months of treatment time
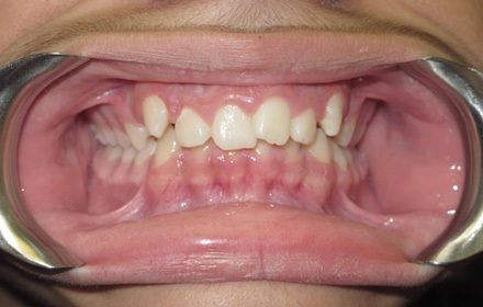
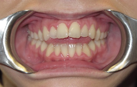
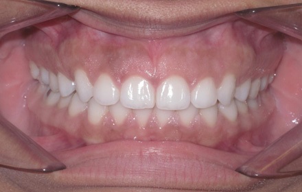
Class II- Invisalign First – Phase 1
Impinging bite, excessive overjet, crowding, retrognathic mandible, habit of night grinding, mild click on left side, mandibular advancement on first set with Invisalign
Patient – Female, 8 – 9 years old, 18 months of treatment time
Open bite cases with Invisalign
Class II, Div I- Invisalign Adult – INVISALIGN GALLERY FINALIST
Open bite, retrognathic, 2mm diastema, tongue thrust habit
Patient – Female, early 20s – 20 months treatment time
Class II, Division 1- Invisalign
Excessive open bite, tongue thrust habit, retrognathic mandible
Patient – Female, 21-23 years old – 2 years treatment time
Severe crowding cases with Invisalign
Class III- Invisalign Adult
Severe crowding, prognathic mandible, missing two upper teeth, open bite, end to end
Patient – Male, early-mid 50s – 2.5 years treatment time
Class II Division I – Invisalign Teen
Severe crowding, narrow and constricted upper arch, over retained primary teeth
Patient – Male, mid-late teens – 3.5 years treatment time – no adult teeth extractions
Non-surgical Invisalign Cases
Class II Division I – Invisalign – NON SURGICAL CASE
Severe Open Bite 7mm, Narrow & constricted maxilla, Bilateral posterior cross bite
Patient – Male, early mid 50s – 36 months treatment time
Class II Div I – Invisalign – NON SURGICAL CASE
Impinging overbite, excessive overjet, narrow/constricted maxilla, no surgery
Patient – Male, 32-37 years old – 5 years treatment time
Excessive Overjet cases with Invisalign with Mandibular Advancement
Class II, Division 1- Invisalign with Mandibular Advancement
Excessive overjet of 13mm, impinging overbite, retrognathic mandible
Patient – Female, 13-15 year old – 2.5 years treatment time
Class II Division I- Invisalign Teen with Mandibular Advancement
Impinging overbite, steep curve of spee, severe crowding, narrow and constricted arch, retrognathic mandible
Patient – Male, early-mid teens – 19 months treatment time – no extractions
