Make Your Child’s Smile a Priority with Invisalign First
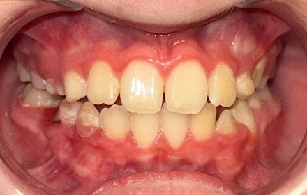
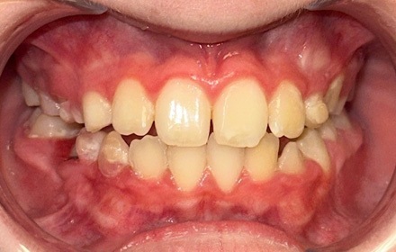
As an expert Invisalign provider, Dr. D’Ascoli may recommend Invisalign First in Lake Tahoe and Northern Nevada for children with primary teeth and narrow dental arches. As part of Early Phase 1 treatment, employing Invisalign First can help avoid the need for palatal expanders.
The American Association of Orthodontists realizes the countless benefits of children visiting an orthodontist in the earlier stages of their life. This is why it is recommended that your child is seen by an orthodontist as early as age seven.
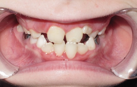
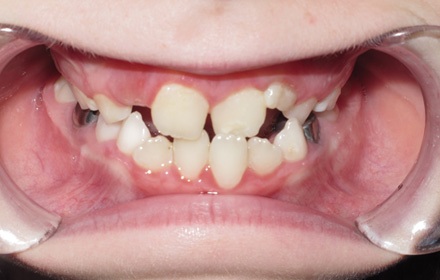
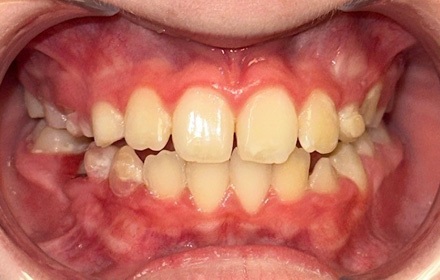
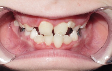
Early Phase 1 treatment allows Dr. D’Ascoli to monitor your child’s growth patterns and focus on the development of teeth straightening issues such as:
- Crowded teeth
- Gaps in teeth
- Narrow dental arches
- Open bite
- Overbite
- Underbite
- Crossbite
For more information about Pediatric Orthodontics, please click here
Due to its ease of use and comfort, Invisalign First may be the ideal orthodontic treatment for your child as it was designed to provide predictable results for growing mouths and smiles.
Learn more about a success story of a mother’s experience and her child’s treatment with Invisalign.
Schedule Your Child’s Complimentary Appointment With Our Provider Of Invisalign First in Lake Tahoe and Northern Nevada Today!
When you are ready to learn more about how orthodontic treatment can help your child achieve their healthiest smile, call (775) 882-1062 to schedule your child’s complimentary, no-obligation D’Ascoli Orthodontics Smile Assessment today.
Your child’s appointment includes a discussion of your goals, an in-depth oral exam, 3D scan, digital x-rays, a personalized treatment plan, and free bonus teeth whitening if you commit to Invisalign treatment the same day – a $395 value, for FREE!
You may also click here to use our online scheduling form. We look forward to helping your child achieve their happiest, healthiest smile!
As one of the premier orthodontic practices in Reno, NV our doctor and team at D’Ascoli Orthodontics also provide 5-star orthodontic care to patients from Carson City, Gardnerville, Incline Village & Fernley, NV, South Lake Tahoe, CA and Surrounding Areas.
