Enjoy Watching Your Teen Smile Throughout Treatment
Whether your teen is having a professional group photo taken at a sporting event, prom, or milestone celebration, or simply taking a selfie with friends, they want to put on their clearest smile possible – even with orthodontic treatment.
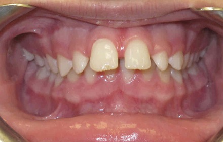
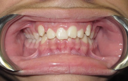
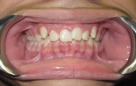
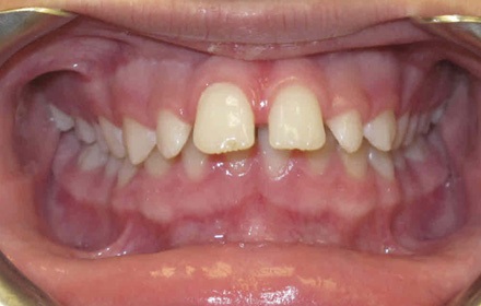
Invisalign Teen in Lake Tahoe and Northern Nevada was designed for moments like these. Clear, comfortable, removable, fast, and effective, Invisalign Teen is very similar to the standard Invisalign system, which is virtually invisible. These clear aligners put pressure on the teeth and slowly move them into place. They’re worn up to 22 hours a day for a week, at which time they are replaced with a new set of aligners.
Change Aligners? No Problem!
A unique benefit of Invisalign Teen at our practice is the use of the Dental Monitoring app, which allows us to track aligner wear, oral hygiene, and treatment progress in real time. The app provides instant feedback to both patients and our team, and parents receive alerts about their child’s treatment right away—adding an extra layer of reassurance. If an aligner is lost (which can happen with busy teen lifestyles), there’s no need to worry. The patient can simply move on to the next aligner at home, and everything is tracked seamlessly through the app. It’s a smarter, more connected way to manage Invisalign Teen treatment.
Dr. D’Ascoli is officially recognized as a designated Invisalign Teen provider and has treated hundreds of teen patients in Lake Tahoe and Northern Nevada get through high school with their clearest, healthiest smiles. He can help yours, too!
Learn more about Invisalign and our locations.
Learn More About Invisalign Teen in Lake Tahoe and Northern Nevada & Schedule A Complimentary Appointment Today!
When you are ready to learn more about how orthodontic treatment can help your child achieve their healthiest smile, call (775) 882-1062 to schedule a complimentary, no-obligation D’Ascoli Orthodontics Smile Assessment today. Your child’s appointment includes a discussion of your goals, an in-depth oral exam, 3D scan, digital x-rays, a personalized treatment plan, and free bonus teeth whitening if you commit to Invisalign treatment the same day – a $395 value, for FREE!
Your child’s appointment includes a discussion of your goals, an in-depth oral exam, 3D scan, digital x-rays, a personalized treatment plan, and free bonus teeth whitening if you commit to Invisalign treatment the same day – a $395 value, for FREE!
You may also click here to use our online scheduling form. We look forward to helping your child achieve their happiest, healthiest smile!
As one of the premier orthodontic practices in Reno, NV our doctor and team at D’Ascoli Orthodontics also provide 5-star orthodontic care to patients from Carson City, Gardnerville, Incline Village & Fernley, NV, South Lake Tahoe, CA and Surrounding Areas.
