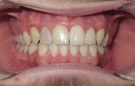
A Top 1% Diamond Plus Invisalign Provider of Invisalign® Treatment in Lake Tahoe and Northern Nevada
A Top 1% Diamond Plus Invisalign Provider in Lake Tahoe and Northern Nevada , Dr. D’Ascoli has extensive experience in creating healthy, beautiful smiles with the revolutionary technology of clear, removable aligners.
In fact, nearly 70% of our practice is comprised of Invisalign® patients of varying ages—many of whom were once told by their provider that they were not candidates for Invisalign®.
Our Board-Certified provider is highly experienced in handling complex Invisalign® cases and is one of the few orthodontists in the world doing impacted teeth with Invisalign®. Dr. D’Ascoli been invited to London to speak about this topic and his cases have been chosen by Invisalign®. Click here to learn more about treating complex Invisalign® cases.
The benefits of Invisalign® over braces are the precise and predictable teeth movements, thus offering a better outcome and faster treatment. Invisalign® is a great treatment option for children and adults and it provides a level of discretion that exceeds even clear braces. Additionally, we offer Invisalign® treatment for the same cost as metal braces.
Invisalign® vs. Metal Braces
Both Invisalign® and metal braces are effective orthodontic treatments designed to straighten teeth and improve bite alignment in teens and adults. At D’Ascoli Orthodontics, we proudly offer both options to patients in Lake Tahoe and Northern Nevada. Here’s a side-by-side comparison to help you determine which treatment best suits your lifestyle and preferences:
- Discretion Invisalign® is the top choice for patients seeking a virtually invisible treatment option. The clear aligners are barely noticeable, offering a discreet solution for those who prefer a less visible approach to orthodontics. In contrast, traditional metal braces feature noticeable metal brackets and wires, making them the most visible of all treatment types. While many patients grow to embrace their braces, they don’t offer the same level of subtlety as Invisalign®.
- Comfort One of Invisalign’s biggest advantages is its smooth plastic aligners, which are custom-fitted to your teeth and free from brackets and wires. This greatly reduces the risk of irritation or sores inside the mouth. Metal braces, while effective, can cause discomfort due to poking wires or tightening adjustments and may lead to occasional mouth abrasions, especially in the early stages of treatment.
- Diet Restrictions Metal braces require careful attention to your diet. Sticky, hard, or chewy foods can damage brackets or get stuck in wires, leading to broken components or extended treatment time. With Invisalign®, you simply remove your aligners before eating, allowing you to enjoy all your favorite foods without restriction. After meals, just brush and replace the aligners.
- Oral Hygeine Maintaining good oral hygiene is easier with Invisalign®. You can remove the aligners to brush and floss as usual, ensuring a more thorough clean. Metal braces, on the other hand, can trap food particles around the brackets and wires, making oral care more challenging and time-consuming. Special tools may be needed to properly clean around the braces.
- Impact on Your Hobbies For musicians, especially brass or woodwind players, and athletes involved in contact sports, metal braces can be a bit of a hurdle. They can affect mouth positioning and may require special mouthguards for protection. Invisalign® aligners can be removed during these activities, offering more freedom and flexibility without interrupting your treatment plan.
- Cost At D’Ascoli Orthodontics, the cost is the same between Invisalign and metal braces treatment. We strive to make all treatment affordable, and we’ll provide a personalized recommendation based on your specific orthodontic needs and goals.
- Dental Monitoring With Invisalign and Dental Monitoring together, we can monitor your progress with weekly scans from home, communicate directly as necessary, keep your treatment on time, and only see you as necessary making fewer office visits. -Learn more
- Appointment Frequency Metal braces require regular in-office visits for adjustments and wire changes. Invisalign® often allows for fewer visits, as aligners are changed at home every few weeks. This added convenience can be ideal for patients with busy schedules.
Which One Is Right for You?
Both Invisalign® and metal braces are proven to deliver excellent results. Dr. D’Ascoli and our team are here to guide you through your options and help you choose the solution that fits your lifestyle, comfort level, and aesthetic goals.
Find Out if You’re a Candidate for Invisalign or Braces
An Experienced Team You Can Trust for Your Invisalign® Treatment.
If you’ve decided on Invisalign® as the right treatment plan to achieve your best smile, you’ll find no better orthodontics team to work with than ours. Dr. Vincent D’Ascoli is a leading expert on Invisalign® treatments, standing apart as the only Board-Certified Top 1% Diamond Plus Invisalign® Provider in all of Lake Tahoe and Northern Nevada. That has him in the Top 1% of this nation, meaning you’re setting yourself up for top-tier care when you become a patient of ours.
The Invisalign Process
Invisalign offers more precise and predictable treatment than traditional braces, resulting in better outcomes and faster treatment. Dr. D’Ascoli will meet with you during your free exam and consultation and will create a digital scan of your teeth with our 3D scanning technology.
Next, he’ll send your digital scan and customized treatment plan to Invisalign’s specialized lab, where they use highly advanced computer technology to finely calibrate a sequence of aligners for your unique smile. Each aligner represents a different point along the path that your teeth will move.
Frequently Asked Questions
Both Invisalign® and clear braces can effectively and discreetly straighten teeth in adults and teens. However, they achieve this goal in slightly different ways. At D’Ascoli Orthodontics, We offer both Invisalign® and clear braces for patients in Lake Tahoe and throughout Northern Nevada.
Which treatment is faster, braces or Invisalign?
Both systems move teeth and provide correction of your bite. With braces, all teeth are always engaged during treatment. It can provide reasonable treatment time if the patient is careful without excessively breaking brackets. Invisalign incorporates digital technology and precision. Only the teeth that need movement are being moved with Invisalign which makes the treatment time shorter. Invisalign has optimized attachments to readily correct your teeth. The aligner covers all three sides to make the movement more efficient. However, if Invisalign aligners aren’t worn as directed, our progress will be slower and limited. Treatment time depends on how responsive your teeth are and how well you wear your aligners. IT’S COMPLIANCE, NOT THE APPLIANCE THAT GETS US TO A FABULOUS SMILE AND HEALTHY BITE.
Which treatment is better, braces or Invisalign?
Dr. D’Ascoli will make his best recommendation for your treatment. However, in most cases, you will have a choice of either braces or Invisalign. This will ultimately be your decision as you know yourself best and each system has its responsibilities. We recommend going with Dr. D’Ascoli’s treatment plan as well as which system you would be the best patient. The price is the same for braces or Invisalign at our office, so the choice is not dictated by cost but rather how you want your journey to be.
Does Invisalign cost more than braces?
No, at our office braces and Invisalign are the same fee. We would prefer you to do what you would be most successful for and of course, based on Dr. D’Ascoli’s treatment recommendation. Most offices will charge more for Invisalign due to their demand and higher lab fee for the practice.
What do braces or Invisalign cost?
If it is full comprehensive treatment, it can range from $5,000 - $7,500. Treatment fees can be lower if it is an early treatment (Phase 1) or Phase 2. If you are a transfer patient and looking to finish out your current orthodontic treatment, fees will be assessed on progress. Treatment fee will vary on the duration and complexity of your case. As a private practice, we are on par with other practices in our area. We are locally owned and operated. We are not owned by a corporate entity or financed by an investment firm.
Am I too old for braces/ Invisalign?
If your teeth, roots, and bone are healthy, then we can consider orthodontic treatment for you. Almost half of our practice consists of adult patients. It is best to have Dr. D’Ascoli evaluate you for treatment at a consultation.
What is too young for braces/ Invisalign?
This can vary with each child’s dental and facial development. The American Association of Orthodontics recommends a child get their first orthodontic evaluation at age 7. We recommend early treatment only if it is beneficial to the patient. Some things to consider correcting sooner for early treatment are cross bites, underbites, severe crowding, and airway orthodontics so facial and dental growth can be optimum. Coming in for a complimentary consultation can be very beneficial to parents of young children.
Learn More About Invisalign in Reno, NV & Surrounding Areas & Schedule Your Complimentary Appointment Today!
When you are ready to learn more about how orthodontic treatment can help you achieve your healthiest smile, call (775) 882-1062 to schedule your complimentary, no-obligation D’Ascoli Orthodontics Smile Assessment today.
Your appointment includes a discussion of your goals, an in-depth oral exam, 3D scan, digital x-rays, a personalized treatment plan, and free bonus teeth whitening if you commit to Invisalign treatment the same day – a $395 value, for FREE!
You may also click here to use our online scheduling form. We look forward to helping you achieve your happiest, healthiest smile!
As one of the premier orthodontic practices in Reno, NV our doctor and team at D’Ascoli Orthodontics also provide 5-star orthodontic care to patients from Carson City, Gardnerville, Incline Village & Fernley, NV, South Lake Tahoe, CA and Surrounding Areas.
